
Lentes de Contato Dental com estética natural, planejamento digital e resultado previsível.

Lentes de Contato Dental com estética natural, planejamento digital e resultado previsível.
Fase 1
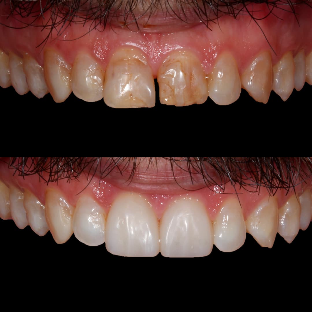
Aqui o novo sorriso ganha forma. Com fotografia, análise facial, mockup e planejamento digital, o Dr. cria um projeto totalmente personalizado, definindo formato, cor e harmonia do sorriso com precisão milimétrica. É também onde se escolhe o melhor material para o seu caso, porcelana ou resina, sempre priorizando naturalidade e previsibilidade. Você visualiza tudo antes de começar.
Fase 2
Com o sorriso definido, é hora da aplicação. A técnica é conservadora, sem desgaste agressivo, garantindo conforto e preservação dos dentes. As lentes são aplicadas com precisão, entregando naturalidade, resistência e um brilho estável no dia a dia — resultado bonito, real e seguro desde o primeiro momento.
A técnica de estratificação e o uso de laboratório parceiro com alto nível.
Você visualiza seu novo sorriso antes de qualquer procedimento.
Desgaste mínimo e adequado apenas quando necessário.
A técnica de estratificação e o uso de laboratório parceiro com alto nível.
Você visualiza seu novo sorriso antes de qualquer procedimento.
Desgaste mínimo e adequado apenas quando necessário.









Com 15 anos dedicados à Odontologia Estética, o Dr. é especialista em criar sorrisos naturais, refinados e personalizados.
Sua assinatura é a precisão: ele analisa dores, histórico, expectativas e necessidades individuais para construir um sorriso que combine com a sua identidade.
Seu processo único une:
Avaliação estratégica e humanizada
Planejamento digital completo
Mockup para visualização prévia
Laboratório parceiro altamente confiável
Execução minuciosa focada em naturalidade e harmonia
O resultado? Um sorriso que não parece “feito”: parece seu.
Com 15 anos dedicados à Odontologia Estética, o Dr. é especialista em criar sorrisos naturais, refinados e personalizados.
Sua assinatura é a precisão: ele analisa dores, histórico, expectativas e necessidades individuais para construir um sorriso que combine com a sua identidade.
Seu processo único une:
Avaliação estratégica e humanizada
Planejamento digital completo
Mockup para visualização prévia
Laboratório parceiro altamente confiável
Execução minuciosa focada em naturalidade e harmonia
O resultado? Um sorriso que não parece “feito”: parece seu.
Publicado em Alice CarvalhoTrustindex verifica se a fonte original da avaliação é Google. Excelente atendimento e serviço especializado com muita qualidade.Publicado em Lucilene Devegili LorenziTrustindex verifica se a fonte original da avaliação é Google. Atendimento excelente, e resultado acima do esperado!Publicado em Cristina GranadoTrustindex verifica se a fonte original da avaliação é Google. Experiência ótima! Toda equipe muito atenciosa e solícita, ambiente muito agradável, com estacionamento, e o dr Vitor me atendeu de forma espetacular! Resolveu meu problema em uma única consulta, coisa que outros 3 dentistas não conseguiram!! Nota 1.000/10!!!Publicado em Gastão Schwarz Jr.Trustindex verifica se a fonte original da avaliação é Google. Profissional fantástico!! Atencioso e habilidoso Para mim o melhor!!Publicado em Helio BertoliTrustindex verifica se a fonte original da avaliação é Google. Otimo atendimento. Pontual e cordial. Instalação muito adequadas para o eventoPublicado em Ricardo Luiz LippelTrustindex verifica se a fonte original da avaliação é Google. Em Novembro de 2025 faz 2 anos que terminei minha transformação com Dr. Vitor Profissional muito Competente e o Resultado foi Maravilhoso. Super Recomendo...
Leia algumas das perguntas mais frequentes, caso ainda esteja com dúvidas
Não. O Dr. trabalha com uma técnica totalmente conservadora, realizando apenas a adequação necessária para garantir a adaptação perfeita e preservar ao máximo sua estrutura dental.
Sim! O processo inclui fotografia profissional, planejamento digital e mockup, permitindo que você visualize o resultado antes mesmo de iniciar.
A porcelana oferece maior durabilidade, naturalidade e resistência. Já a resina pode ser indicada para ajustes específicos e procedimentos menos complexos. A escolha é sempre personalizada.
De forma alguma. O Dr. trabalha com estratificação artística e laboratório parceiro especializado, garantindo um acabamento extremamente natural.
Varia conforme o caso, mas o processo é otimizado graças à previsibilidade do planejamento digital. Na avaliação, você já recebe um cronograma claro.
Na avaliação inicial, o Dr. identifica suas necessidades, histórico e expectativas para definir o material e a abordagem mais adequada ao seu objetivo.
Meu compromisso é entender você e suas necessidades individuais. Cada aspecto do meu trabalho é cuidadosamente planejado para recuperar sua essência e renovar sua confiança de maneira personalizada.